Offices in IL, FL, & MI

Mesothelioma Lawsuits
& Cases We Handle

we litigate & successfully resolve cases nationwide

At Vogelzang Law, we are committed to holding negligent manufacturers accountable for dangerous products and unsafe work environments. Our team specializes in handling a variety of asbestos lawsuits, including cases related to mesothelioma, lung cancer, talc contamination, and more.

Manufacturers and companies continued to produce harmful products even when they knew they were dangerous. They failed to warn workers about the risks associated with asbestos, resulting in thousands of cancer cases that developed decades later.

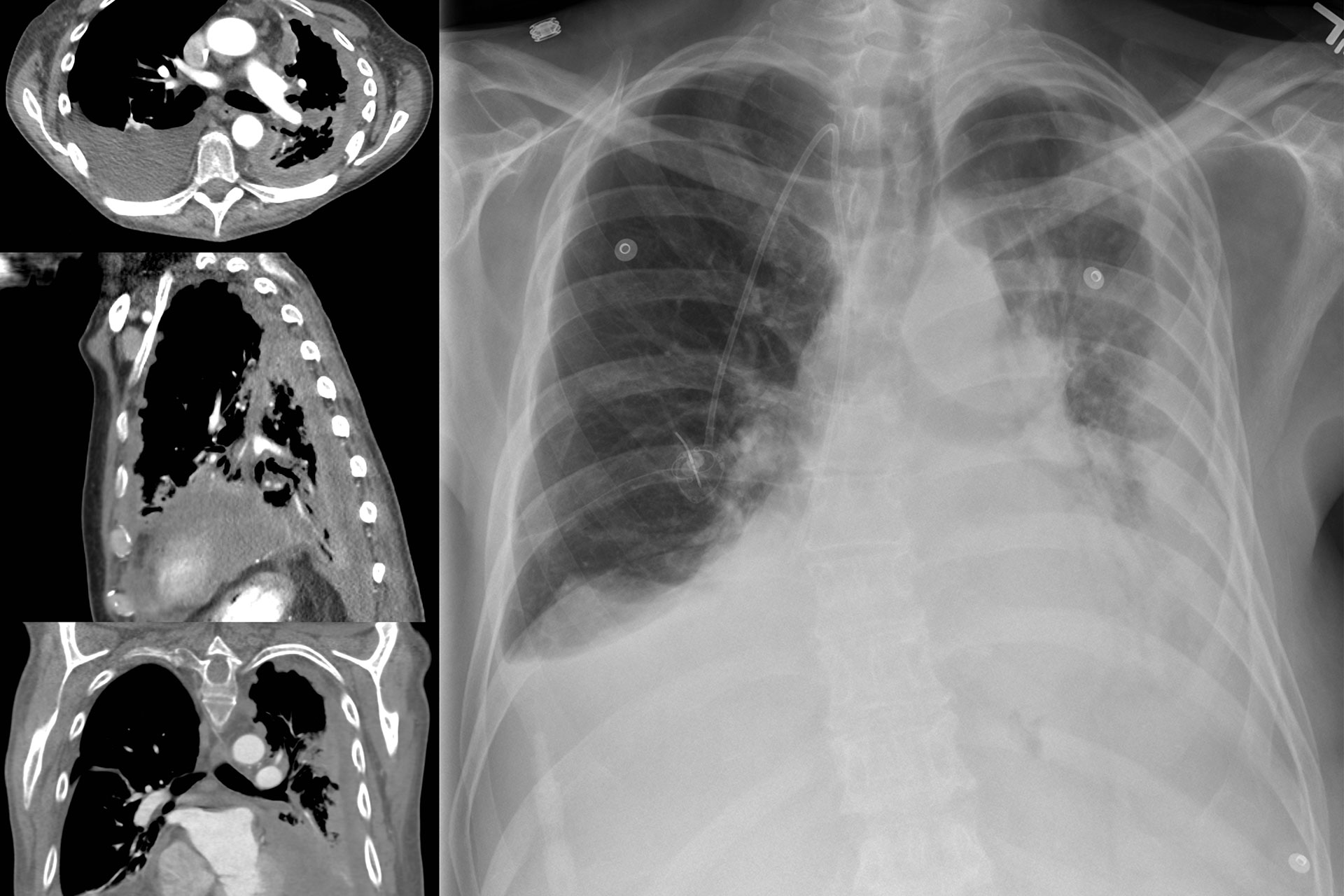
mesothelioma

Mesothelioma

Mesothelioma is a rare and aggressive cancer caused by asbestos exposure and affects between 2,000 and 3,000 people each year. This condition takes decades to develop after asbestos exposure. 

The following occupations are at the highest risk of developing mesothelioma: insulators, pipefitters, construction workers, mechanics, bricklayers, and military veterans.

lung cancer asbestos

Lung Cancer

The inhalation of asbestos fibers poses a serious health risk, substantially increasing the chances of developing lung cancer. The fibers, often released into the air during the disturbance of asbestos-containing materials, can become lodged in lung tissue and lead to severe cellular damage over time.

The following occupations are at the highest risk of developing mesothelioma: insulators, pipefitters, construction workers, mechanics, bricklayers, and military veterans.

asbestosis

Asbestosis

Asbestosis is a condition in which scar tissue accumulates in the lungs and causes damage. This disease is chronic and causes long-term coughing, chest pain, and difficulty breathing. 

toxic and mass torts

Other Toxic and Mass Torts

Mass torts are lawsuits filed on behalf of consumers injured on a large scale by defective products or drugs. Examples include contaminated talcum powder, benzene exposure, Actos, Round-up, talc, Valsartan, 3M earplugs, hair relaxer lawsuits, acute myeloid leukemia from prolonged use of Depo-Provera, and the contaminated water at Camp Lejeune.

From start to finish -
we’ll be there alongside you